Cali, enero 9 de 2026. Actualizado: viernes, enero 9, 2026 16:25
Una enfermedad respiratoria
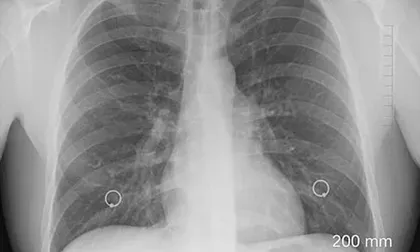
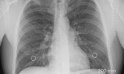
La fibrosis pulmonar, silenciosa y mortal
La Fibrosis Pulmonar Idiopática es una patología con causa desconocida que afecta el tejido pulmonar causando la aparición de cicatrices en los pulmones. A medida que este proceso conocido como fibrosis se extiende por este órgano, se pierde progresivamente la función pulmonar. La patología hace parte las enfermedades huérfanas, su diagnóstico oportuno es indispensable para reaccionar y prolongar la vida del paciente.
El dictamen de la enfermedad es fácilmente confundible con otras enfermedades respiratorias como: asma, enfermedad pulmonar obstructiva crónica (EPOC) o cáncer de pulmón.
“La patología suele tardar de 1 a 2 años en ser diagnosticada desde que aparecen los primeros síntomas. El diagnóstico temprano y tratamiento multidisciplinario, son claves para enlentecer la progresión de la enfermedad y mejorar la calidad de vida”. Aseguro Carlos Matiz, presidente de la Asociación Colombiana de Neumología y Cirugía de Tórax.
Según el Sistema Integrado de la Protección Social (SISPRO) en el país se estima que existes 2.850 colombianos con enfermedades pulmonares intersticiales con fibrosis de las cuales hace parte la Fibrosis Pulmonar Idiopática.
Síntomas
Los síntomas más característicos de esta enfermedad son las dificultades para respirar, usualmente cuando se hace ejercicio o en actividades similares ya que requieren mucho oxígeno para poder realizarlo. Otros de los síntomas más representativos son tos aguda, debilidad en el cuerpo, perdida de peso, dificultar para hablar y respirar.
“Los médicos deben sospechar basados en la historia clínica que le cuenta su paciente; la edad y síntomas como asfixia, fatiga, tos crónica y permanente durante más de cuatro semanas y ruidos pulmonares inusuales, entre otros. También, se puede sospechar cuando los pacientes presentan malformaciones en los dedos de las manos. Reconocer los signos de alarma depende de todos, médicos, cuidadores y pacientes.” Comento Matiz.
La Doctora Emily Rincón Álvarez, neumóloga y miembro de la Asociación Colombiana de Neumología menciono que “El diagnóstico temprano es lo único que puede prevenir el deterioro agudo de la función pulmonar en un 50% por lo que el paciente tendría un progreso mucho más lento y lo llevaría a prolongar su supervivencia.
Probablemente también se puede prevenir el riesgo de este empeoramiento agudo que también ocurrirá un 50% menos cuando los pacientes son tratados”.
Aunque es una enfermedad crónica sin aparente cura, el trasplante de pulmón se considera como una posible opción para aplacar la afección. Sin embargo, esta operación se encuentra disponible para un número limitado de personas y muchas de ellas no consiguen donante.
Es por esto que el diagnóstico temprano de la FPI es indispensable para tratar oportunamente la enfermedad con fármacos, oxígeno o rehabilitación pulmonar y aumentar la calidad de vida del paciente. ¡La Fibrosis Pulmonar Idiopática no espera!
